Bruker BioSpec 小动物核磁成像系统
拥有卓越信噪比的11.7 T高磁场
采用维护间隔长达两年的USR(超屏蔽冷头)磁体技术
USR 磁体采用液氮零挥发技术和无液氮磁体技术
72 mm 大空间实现大鼠和小鼠成像
具有优越的分辨率和成像效果
详情
产品原理
磁共振成像:
磁共振成像(MRI)是利用原子核在强磁场内发生共振产生的信号经图像重建的一种成像技术,是一种核物理现象。它是利用射频脉冲对置于磁场中含有自旋不为零的原子核进行激励,射频脉冲停止后,原子核进行弛豫,在其弛豫过程中用感应线圈采集信号,按一定的数学方法重建形成数学图像。
磁共振成像优势:
高空间分辨率;
良好的软组织对比,尤其在神经系统,肿瘤,关节肌肉组织;
多参数成像,适用于生物体全身成像,各种疾病动物模型;
对生物体无损伤、无辐射;
适合动态连续活体观测药物在体内的代谢,探索药物作用机理和评价治疗效果。
产品概况
德国Bruker小动物核磁系统是尖端低温探头技术结合超高场的USR磁体技术,为活体磁共振成像提供超高的空间分辨率,使磁共振成像科研达到科学家所期望的分子细胞水平
基于超屏蔽冷头 (USR) 磁体技术的高端磁体为小动物磁共振成像提供超高灵敏度的磁场 ( 从 4.7 特斯拉到 11.7 特斯拉 )。
Bruker BioSpec 117/16 USR配备11.7T超高场磁体,采用USR(超屏蔽冷头)磁体技术,对小动物如大小鼠全身软组织、大脑、神经、心血管、关节、肺和腹部组织器官等均具有极高的分辨力和成像效果,在活体动物器官的细胞水平或亚细胞水平进行定性与定量成像,被广泛应用于生命科学,生物医药和医药临床前研究领域。
USR(超屏蔽冷头)磁体技术:布鲁克的 USR 磁体采用的是液氮零挥发技术,该技术只使用液氦作为致冷剂。由于先进的领先技术,我们的 USR 磁体在两年内无需进行维护。布鲁克的 USR 磁体是仅有的具有主动屏蔽功能的磁体,因此大大减少了磁体周边的杂散场。
产品特点
小动物核磁整体特点:
基于超屏蔽冷头 (USR) 磁体技术的高端磁体为小动物磁共振成像提供高灵敏度的磁场 ( 从 4.7 特斯拉到 11.7 特斯拉 )。
从 16 厘米到 40 厘米的磁体孔径可以覆盖所有临床前预试验的动物尺寸 ( 大鼠,小鼠,猴子,狗等 )。
磁体的零液氦蒸发量和免液氮技术节约维护成本和延长维护周期。
可升级的 AVANCEI 模块化谱仪系统提供多达 16 个接受通道和 6 个发射通道。
并行成像技术应用于所有序列包括平面回波成像。
多通道发射成像应用。
为高场磁共振优化设计的 BGA-S 系列梯度系统拥有最高的梯度强度,切换速率和匀场电流。
马达驱动和软件控制的动物定位系统为日常扫描提供便利和提高效率。
自触发静态心脏成像 ( 无需外接传感器和触发同步装置 )。
相阵控射频线圈技术提供最大检测灵敏度和缩短扫描时间。
磁共振成像低温探头的灵敏度比普通探头高 2.5 倍。
直观友好用户界面,可以处理多维磁共振成像和波谱的采集,重建,分析和显示。
BioSpec 117/16 USR 技术特点:
拥有卓越信噪比的11.7 T高磁场。
维护间隔长达两年的超屏蔽冷头(USR)磁体。
USR 磁体采液氮零挥发技术和无液氮磁体技术,该技术仅使用液氦作为致冷剂。
USR 磁体是仅有的具有主动屏蔽功能的磁体,大程度减少磁体周边的杂散场。
72 mm 大空间实现大鼠和小鼠成像。
集成梯度和匀场的 BGA-S 梯度线圈,具有优越的切换率、梯度强度以及出色的占空度性能,可克服各种超高磁场下成像挑战。
用于多接收发射通道配置的可扩展Avance Neo架构。
用于并行成像的相阵控线圈技术。
用于无外部触发装置自门控心脏成像的IntraGate。
动物精密定位系统。
采用卓越的动物磁共振成像技术的ParaVision 360友好用户界面。
应用领域
小动物磁共振成像系统的主要应用包括这几个方面:
1、神经科学研究
2、小动物内部组织结构动态
3、小动物不同器官、组织内部肿瘤模型给药研究
4、活体实验鼠体内肿瘤长期动态观测、肿瘤生长评估
5、头部肿瘤类动物模型研究
6、头部血栓、脑梗等动物模型研究
7、肝部肿瘤、脂肪肝、其它肝部疾病研究
8、皮下肿瘤研究
9、靶向药物研究
10、心血管疾病研究
11、病理研究,肥胖研究
12、胚胎发育研究
13、肾脏研究
14、基于磁共振造影剂研究
15、病理学研究
应用展示
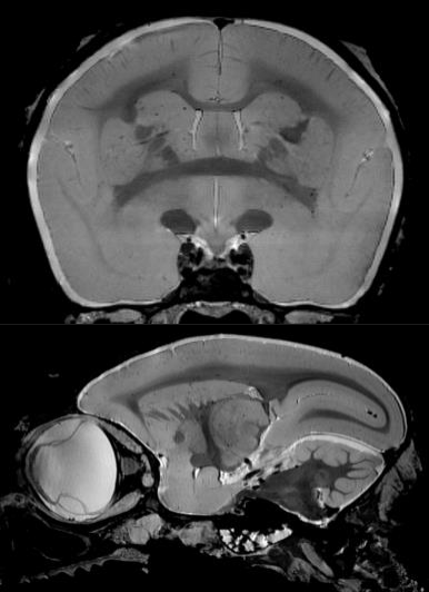
1、高分辨率神经解剖结构
布鲁克结合超高磁场,先进的相阵控线圈和谱仪技术提供完美品质的结构形态成像。超高空间分辨率可以显示精细的显微组织结构。领先的磁共振成像技术在超高磁场下提供完美的对比度。
磁共振成像低温探头增加150%的灵敏度,清晰显示小鼠脑部细胞层状结构(小脑的颗粒层和浦肯雅细胞层),空间分辨率达到 50µm:

2、功能磁共振成像
功能磁共振成像需要最强的磁场,最好的梯度和最稳定的系统。布鲁克优异的梯度系统确保在单次激发下得到整个脑部的图像。功能卓越的匀场单元最大程度地消除平面回波成像几何形变。特有的频率和相位稳定性保证多次激发EPI扩散张量成像的品质。高分辨率的功能磁共振成像可以深入洞察大脑的功能反应。
小鼠脑部的功能磁共振成像:

3、扩散张量成像DTI
多次激发EPI扩散张量成像可以显示小鼠脑部神经纤维走向。扩散梯度方向可多达256个方向,空间分辨率为200×200×400微米。
小鼠脑部扩散张量成像:

4、SWI磁敏感成像
磁敏感成像可大大提高磁敏感性,可用于检测老年痴呆小鼠模型粥状淀粉沉积斑块,评价药物作用疗效。
老年痴呆小鼠脑部的磁敏感成像:

5、磁共振波谱
高强磁场下的磁共振波谱给研究脑部、肿瘤等代谢情况提供新的有效工具,布鲁克卓越的活体定域谱技术实现小于10毫秒的回波时间,可以研究更广泛的代谢物。精密的匀场算法减小谱峰的重叠,达到最好的波谱分辨力。
高强磁场下的磁共振波谱:

6、腹部成像
布鲁克同步触发采集技术可以消除腹部运动伪影,高场下T2对比度能更好显示腹部各个脏器。
大小鼠腹部成像:

7、心脏成像
布鲁克专为心脏成像设计的相阵控线圈具有最大的灵敏度。并行加速采集技术支持高时间分辨率要求的实验,例如心肌灌注成像等应用。自触发技术和实时生理触发技术消除动物呼吸和心跳对图像的影响。可实现心脏亮血、黑血、灌注等结构,标记和电影成像。
大小鼠的心脏成像:

8、分子影像成像
分子磁共振成像是是一个新兴并具有很大发展前景的领域。随着布鲁克独特的低温探头技术进入磁共振成像领域,磁共振图像的空间分辨 率达到一个新的层次。这些特有的提高灵敏度技术结合布鲁克超高场 强磁体,使磁共振成像进入细胞水平。
利用标记Fe的间质干细胞来显示大鼠中风区域:

9、猴脑成像
灵长类动物是我国脑科学计划中关键实验动物,对理解大脑的功能运转有极大的作用。可以实现小型绒猴灵长类动物成像,大大提高空间分辨率。
绒猴的大脑成像:

